Имплантация - лучший вариант для замены отсутствующих зубов

Витасайт

Не секрет, что из-за отсутствия одного, нескольких или всех зубов значительно страдает качество питания человека, оставшиеся зубы постепенно расшатываются от перегрузки и редеют, так как перемещаются в пустые места, меняется прикус, а с ним и симметрия лица, улыбка становится неприятной. Все это сказывается на внешней привлекательности и уверенности человека.

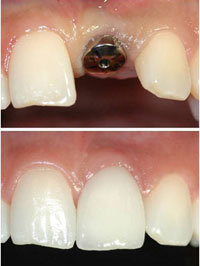
Для восстановления зубного ряда изготавливаются зубные протезы на необходимое количество зубов, опираясь на десну или на соседние зубы, которые должны быть отшлифованы и депульпированы. Опора на имплантаты - вариант замещения как одного зуба, так и нескольких зубов кряду.

Зубной имплантат

Зубной имплантат заменяет корень зуба, а значит помещается в процессе амбулаторной операции в кости челюсти - верхней или нижней. В течение нескольких месяцев, может быть до полугода, рана заживает, а имплантант сливается с окружающей его тканью, становясь ей "родным" и становится на "якорь". Это происходит потому, что зубные имплантаты изготавливают из тех же самых биологически совместимых материалов, что и искусственные коленные, тазобедренные или другие протезы. После этого времени изготавливается задуманная изначально наддёсная часть - корона одного зуба или же зубной мост.

Вот общая структура, три ключевых компонента, зубного имплантата:

  1. Имплантат - титановый штифт, помещенный хирургом в челюстную кость пациента; он действует как корень для коронки.
  2. Абатмент - среднее, связующее звено, которое прикрепляется к имплантату и держит корону на месте.
  3. Корона - видимая, керамическая часть, которая обеспечивает внешний, естественный вид зуба.

Из-за того, что имплантант надежно погружен в ткани, он менее восприимчив к повреждениям, чем абатмент и коронка.

Преимущества

Перечислим преимущества имплантации зубов при их отсутствии по сравнению с более традиционным протезированием:

  • Не нужна подготовка как для моста соседних, здоровых зубов, что приводит к проблемам распада и переломов этих зубов.
  • Исследования показывают, что зубные имплантаты до восьми раз сильнее, чем зубы.
  • Они выглядят так же, как зубы, давая естественный вид вашей улыбке.
  • Долгий срок службы позволяет сэкономить на смене коронок или мостов, которые требуют периодической реставрации или замены из-за возникновения полостей в них.
  • Простота очищения зубной нитью и щеткой, в отличие от мостов, которые бывает сложно очистить и поэтому зубы и десна страдают.
  • Не требуют диеты или ограничения в питании.

Срок службы

Факторы, которые влияют на срок службы зубного имплантата, во многом зависит от образа жизни пациента и общей гигиены полости рта. На самом деле, технология имплантации зубов стала настолько продвинутой на протяжении многих лет, что неудачи из-за проблем отторжения или функциональности во многом стали проблемами прошлого.

При правильном техническом обслуживании и уходе сам имплантат может прослужить всю жизнь, предполагая, что пациент получает регулярные осмотры у стоматолога два раза в год. Срок службы короны, однако, рассчитан на 10-15 лет, естественный износ может привести к потребности замены зуба, хотя отличная гигиена полости рта может продлить срок службы.

Вот некоторые факторы, которые могут помешать успешной зубной имплантации:

  • Место расположения во рту зубного имплантанта является фактором ожидаемой продолжительности его жизни: расположенные в задней части рта получают больше напряжения от жевания, что может привести к их износу быстрее, в отличие от тех, что впереди.
  • Есть заболевания, которые могут вызвать преждевременный выход из строя имплантанта. Это диабет и рак.
  • Плохой уход за зубами, дефицит питательных веществ могут привести к заболеванию пародонта (десен).

Мы О Здоровье

Последний вопрос на сайте

Читаем

    Лечимся

      Диагностируем